首先 , 你了解胰腺吗?胰腺位于人体的左上腹 , 是细长细长的腺体,约14到18cm 。像美人一样横卧在胃和横结肠的后面 。其相近的结构还有脾脏,肾脏和十二指肠 。胰腺分胰头 , 胰体,胰尾,胰颈 。

文章插图
胰腺是重要的消化器官,他会分泌胰蛋白酶,胰淀粉酶等可以消化蛋白质,糖类和脂肪类的消化酶 。同时 , 胰腺还是维持人体血糖平衡最重要的器官!胰岛素就是胰腺分泌的 。
再者,你了解胰腺癌吗?胰腺癌绝大部分来源于胰腺腺管上皮,所以病理类型多为腺癌 。而胰腺癌的特点是男性患者多于女性,死亡率特别高!我们知道苹果之父乔布斯死于胰腺癌;原来卫生部部长陈敏章,自己是胰腺病的专家,但也死于胰腺癌!由此可见不管你是富豪还是医学专家,得了胰腺癌照样存活不了多久 。胰腺癌恶性程度太高了!
那胰腺癌的病因是什么呢?不清楚?。。∧壳盎姑挥泄赜谝认侔┎∫虻亩?。但,长期饮酒和高蛋白,高脂肪饮食是胰腺癌的高危因素!此外,值得注意的是过量饮用咖啡也与之有关 。外界猜测乔布斯是不是就是喝了太多咖啡才诱发胰腺癌的?

文章插图
当然 , 遗传和环境问题也是导致胰腺癌的一个原因 。
胰腺癌有何症状?题目讲身体有一种痛,赶紧到医院看看,这是非常正确的!因为上腹疼痛是胰腺癌的一大症状 。这种疼痛还常常会向后背后腰放射,并且疼痛很持续,不容易缓解 。此外,黄疸,消瘦,食欲差,脂肪泻,腹水等等,都是胰腺癌的症状 。
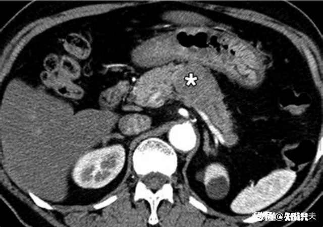
这里我重点介绍下黄疸!胰腺癌的黄疸多半是梗阻性黄疸 。并且多少因为胰头癌对胆管的压迫而造成的梗阻!看图,长在胰头的胰腺癌和胆管是紧紧挨着的,它会压迫胆管,使得胆汁无法排到十二指肠里 。而胰体癌就不会出现这种情况!因此,梗阻性黄疸对胰腺癌,特别是胰头癌的诊断还是很有帮助的!

文章插图
总之,胰腺癌恶性程度高,死亡率非常高!如果你有上腹部疼痛或者梗阻性黄疸等症状,赶紧到医院查查腹部超声和肿瘤标志物,如果有阳性发现,进一步做CT明确一下!
首先胰腺癌是种消化系统疾病恶性肿瘤,而且主要是出现于胰腺上皮的,这种肿瘤的死亡率极高,而且难以治愈 , 而且也是很难诊断的一种疾?。认僮饔煤艽螅?主要是参与消化,而且症状主要是顽固性的上腹部疼痛及放射痛,会随体位的改变疼痛也会有所改变 。

文章插图
下边小克为大家普及一下胰腺癌有哪些症状?
1、腹痛 , 这是最典型的症状,也是容易被混淆及忽略的症状,胰腺位于左中腹部,所以肿瘤出现会导致出现腹痛、腹泻,而且位置不仅仅是左中腹部,有可能也是右下腹部、脐周或是全腹部,有时还会牵涉到腰部及睾丸部位 。

文章插图
2、食欲不振、恶心呕吐,因为胰腺癌会导致胰腺开口及腺管被堵塞,导致胰液不能进入十二指肠,所以会影响食欲,还会出现梗阻性呕吐,脂肪消化不良会导致出现脂肪泻,甚至更重者还会出现呕血及黑便等症状 。
3、消瘦乏力 , 黄疸等症状,因为肿瘤需要营养及血液供应,所以会导致人体一些影响及血液供应不足出现消瘦乏力及贫血 , 而黄疸主要是由于胰头癌所导致的,因为肿瘤会压迫胆总管,使得胆汁无法正常排除,使得血液中的胆红素升高 , 使得出现黄疸,而且还会出现陶土样便 。

文章插图
因此对于胰腺癌的诊断不能仅仅靠腹痛来确证,需要根据B超、MRI、肿瘤标记物、腹腔镜等各种辅助检查 , 但是胰腺癌还需要行CT检查,所以对于一些难以诊断而且病变程度较快的需要借助各种辅助手段检查清楚 。
关注小克 , 为大家普及更多健康知识,谢谢!
我是一枚普外小医生,我来回答您的问题 。胰腺癌被称为“万癌之王” 。其起病凶险,侵袭性强,病程短、进展快、死亡率高,中位生存期仅为6个月左右,约3/4的患者在确诊后1年内死亡,5年生存率不足5% 。所以我认为胰腺癌跟“拖不拖”应该关系不大,是因为其恶性程度高 , 进展快 , 死亡率高,所以才会后悔“要是早点发现……”苹果教父乔布斯就是因为这个病离开“果粉”了!

文章插图
但并不是所有胰腺癌早期都没有任何症状,下面我就为您详细介绍 。
不明原因的腹痛、背痛腹痛是胰腺癌早期最常见的症状,疼痛多位于右上腹、脐周,偶尔伴有后背部牵涉痛 。疼痛性质为钝痛 , 持续性加重 。

文章插图
梗阻性黄疸胰头癌多伴有压迫胆管症状,引发阻塞性黄疸,此种黄疸发展迅速,进行性加重,伴有尿黄,皮肤瘙痒,陶土色大便 。

文章插图
血糖突然升高如果血糖一直正常,但是短期内突然上升 , 那有可能是胰腺癌导致胰岛素分泌减少,引发血糖突然升高 。

文章插图
体重突然下降胰腺癌侵袭性强 , 病程短、进展快 。对身体消耗大,如果这段时间进食正常,但是体重突然下降,就要考虑胰腺癌的可能 。

文章插图
谢谢您的阅读,希望我的回答能给您带来帮助,祝您生活愉快!
胰腺癌 , 一直以来被冠以“癌中之王”的称号 , 但这并非浪得虚名 。胰腺癌是一种恶性程度极高的消化系统恶性肿瘤,其进展速度非常快,生存期很短,在症状出现后平均寿命约一年左右,5年生存率不足5%,死亡率很高 。
很多名人 , 包括帕瓦罗蒂、沈殿霞等都是死于胰腺癌,尽管他们拥有常人没有的优越的医疗资源,但是最终他们也难逃于胰腺癌的魔爪 。2011年 , 苹果创始人乔布斯逝世 , 很多人也以为他是死于胰腺癌,但其实乔布斯患的是胰腺内分泌肿瘤,胰腺癌是胰外分泌腺发生的腺癌,其生存期要低于内分泌肿瘤 。
胰腺癌恶性程度极高的原因主要包括以下几个方面:
1.胰腺位置很深 , 深藏在人体左下腹的最深处 , 位置特殊,因此导致它的病情更加隐匿 。
2.治疗效果不佳 。一方面,胰腺癌早期诊断困难,绝大多数患者诊断为胰腺癌时已经属于晚期,丧失了手术的时机 。另一方面,胰腺癌对单药化疗和放疗都不敏感,其他治疗方法 , 包括基因治疗、靶向治疗等方法还处于探索阶段,有待进一步研究 。
【胰腺癌一般哪里会出现疼痛】题目所提的胰腺癌是拖出来的,其实并不准确 。胰腺癌恶性程度高 , 早期临床表现缺乏特异性,出现症状时,病程多进入晚期 。对于年龄超过40岁,出现下列症状者应引起重视:1.上腹部持续性不适且随着进餐加重,伴有食欲不振 。2.突发糖尿病或糖尿病症状突然加重 。3.多发性深静脉血栓 。4.有胰腺癌家族史、慢性胰腺炎病史 。
希望我的回答能给您带来帮助!喜欢就点个赞吧!
胰腺癌称为癌中之王,预后非常差,死亡率也非常高,在出现症状之后平均只能存活一年左右 。即便是进行根治手术一年能够存活下来的依然在5%以下 。
慢性胰腺炎患者、糖尿病患者、长期大量抽烟喝酒喝咖啡以及长期接触烃化物等化学物质的患者是高危人群和高危因素 。
胰腺癌主要表现为腹部疼痛、食欲减退、消化不良、体重下降、消瘦以及皮肤巩膜黄染 。
提问中的一种疼痛感主要是指腹部疼痛 。
腹部疼痛通常是胰腺癌的首发表现,在开始发病的时候,腹部疼痛发生的部位往往模糊不清或者腹部疼痛非常轻微 , 病情进展腹部疼痛逐渐持续加重并相对的固定在中上腹部或者腰部和背部出现持续的疼痛,部分患者可以伴阵发性绞痛 , 疼痛在进食之后、仰卧或者脊柱伸展的时候出现加重,而在蹲位、弯腰坐着、蜷膝侧卧以及俯卧的时候疼痛可以减轻 。这种疼痛使用普通的镇痛药没有效果,胰腺癌患者镇痛需要使用如杜冷丁等麻醉性镇痛药物 。
胰腺癌早期诊断非常困难,出现明显症状一旦诊断均属于中晚期,此时绝大多数已经丧失手术的机会 。
所以对于40岁以上在最近出现以下的这些表现的时候,应该提高警惕,要引起重视:
1、糖尿病患者病情进展加重,无法用糖尿病等来解释;
2、出现多发性深静脉血栓或者出现游走性静脉炎 。
3、出现持续的上腹部不舒服,进食之后加重,并伴食欲减退 。
4、慢性胰腺炎患者、有胰腺癌家族的人群 。
出现以上的这些表现,要提高警惕,引起重视,及时就诊和密切随访 。
(本内容仅供参考 。)
不懂,不是专业医生不敢乱说,即使专业医生估计也不了解发病机制!胰腺癌本来发病就诡异 , 令人防不胜防,一般发现了几乎是晚期 , 说此病是癌中之王不为过 , 生存期很短,病人也很痛苦!平时要做的就是预防糖尿病 , 不暴饮暴食,减少体重,或许会远离风险!
胰腺癌是恶性程度最高的肿瘤 , 被称为癌中之王,5年生存率只有5%值10% , 也就是说 , 90%以上的胰腺癌患者,被诊断为胰腺癌之后,5年之内会死亡,是所有常见的恶性肿瘤之中,死亡率最高的肿瘤 。
胰腺癌的预后这么差,一方面是胰腺癌恶性程度高,对放疗和化疗不敏感 , 而且也缺乏特异性的靶向治疗手段 。手术是唯一可能治愈胰腺癌的手段,但是,大部分胰腺癌患者,发现肿瘤的时候,往往已经是中晚期,丧失了手术的机会 。

文章插图
胰腺位于腹膜后方,除了隔着厚厚的肚皮,前面还有肠管,大网膜等器官组织覆盖 。早期胰腺癌往往是静悄悄的 , 没有任何的症状和体征,如果你没有定期参加体检,根本发现不了 。随着病情的发展,到了癌症的中晚期 , 可能会出现以下症状:
(1)腹痛
胰腺位于中上腹部,常常表现为上腹部隐痛,还可以放射到后腰部,肚脐周围 。如果肿瘤侵犯了周围的脏器或者神经,可表现为持续的 , 剧烈的疼痛 。

文章插图
(2)黄疸
胰头部的肿瘤,可以压迫胆总管 , 导致胆汁排除受阻,引起全身皮肤黏膜黄染,巩膜最为明显,胆色素在皮肤沉积 , 还会导致皮肤瘙痒 。

文章插图
(3)消瘦
胰腺可以分泌多种消化酶 , 参与营养物质的消化和吸收,如果胰腺患癌了,分泌功能受到影响 。再加上肿瘤不断的消耗能量,可导致患者出现食欲不振,体重下降,消瘦等症状 。
如果出现以上这些症状的任何一个或者多个,应该尽早去医院检查,这些症状并不是胰腺癌所特有的,需要医生做鉴别诊断,明确诊断 。
胰腺癌是常见的胰腺恶性肿瘤 , 内分泌因素、高动物脂肪和蛋白质饮食、吸烟、慢性胰腺炎、胰管结石等是导致胰腺癌的常见诱因 。胰腺癌发病隐匿,在上述诱因中甚至早期胰腺癌均可没有明显症状 , 所以说胰腺癌多是“拖”出来的,这种说法并不完全正确 。
胰腺是人体的消化器官,同时拥有内分泌功能和外分泌功能 , 内分泌功能负责分泌胰岛素和胰高血糖素,调整血糖的平稳;外分泌功能负责分泌胰液 , 负责消化功能 。当胰腺出现肿瘤时,内、外分泌功能会收到影响 , 可表现出:疼痛、黄疸、低血糖或好血糖、消化功能障碍、胰腺自身慢性消化等
分享一例真实病例,半年前我科守住了一名胰腺癌晚期病人 , 这个病确确实实是被“拖”出来的 。这位病人是一位43岁男性患者,在当地医院诊断为急性胰腺炎,并发胰腺脓肿、腹腔感染,通过手术治疗后变成慢性胰腺炎、胰腺假性囊肿,经过长达三个月的保守治疗淀粉酶仍然很高 , 这时肝脏已经出现了密密麻麻的小病灶,穿刺活检提前转移性腺癌——胰腺来源!进过科室专家的讨论得出结论:慢性胰腺炎诱发胰腺癌!
胰腺癌出现痛疼只是主要症状 , 也只有75%患者会出现疼痛,胰头部和胰腺体、尾部的症状相差很大,所以全面了解胰腺癌的症状至关重要 。
胰头癌的主要临床表现为 :
上腹部持续性迸行性加重的钝痛,向腰背部放射,也可 向前胸或肩胛部放射,卧位时腹痛加重,坐立或前倾位时可减 轻 。少数病人可无腹痛 。
有持续进行性黄疸,这是由不完全阻塞发展至完全性 阻塞所致 。伴浓茶样色泽小便、陶土色大便和皮肤瘙痒等
体重减轻显著,并常有食欲不振、乏力、恶心、呕吐、腹 泻和腹胀等 。
可打及肿大而无压痛的胆囊 。肝肿大如果是由胆汁郁 积引起的,那么其表面光滑;如果是由癌肿转移引起的,那么 其表面与边缘有坚硬结节 。晚期可出现腹水 。
血清胆红素进行性增高,血清淀粉酶与脂肪酶在癌肿 梗阻胰管的早期也可暂时性增高,而在较长时间的梗阻后,随 着腺体萎缩,可降至正常或低于正常 。癌肿破坏胰岛后,可出 现糖尿与血糖增高 。
胰管完全阻塞时,可出现脂肪泻或肉质泻 。
胃肠钡餐检查可见十二指肠增大,十二指肠内侧壁受 压及侵蚀,肠腔变窄,以及胃窦部浸润或受压等征象 。
超声波检查,可显示总胆管扩张与胆囊增大
胰腺体部、尾部的肿瘤主要表现:疼痛、高血糖或低血糖、慢性胰腺炎 , B超、CT等检查可见胰腺体部或尾部出现实质性肿块,部分还会出现胰腺边界模糊、渗出等慢性胰腺炎的表现 。
早期胰腺癌,往往没有任何症状,当出现疼痛时,常常表示病情已到了中晚期 。所以当出现不明原因的腹痛、腰痛、黄疸以及突然出现的糖尿病或低血糖,一定要警惕胰腺癌的可能,胰腺癌的恶性程度极高 , 经不起“拖”!
胰腺癌是发生在胰腺的一种恶性肿瘤 。其发病率并不高 , 但预后相当差,胰腺癌的死亡率可以排在所有恶性肿瘤的首位 , 5年生存率\u003c1%,被称为“癌中之王” 。
年龄在45岁以上 , 尤其是伴有慢性胰腺炎;初发糖尿病,一段时间内血糖持续升高;有家族史;胃大部分切除后;一些长期大量饮酒、吸烟以及长期接触化学毒物的人都是高危人群 。
胰腺癌是预后最差的恶性肿瘤之一,现在医学技术日益发展,为什么就不能早期及时的发现呢?
一是由于胰腺的解剖位置特殊——胰腺位于腹部左上方,前面有胃、周围有肠子等器官掩盖;
二是早期症状不明显,没有特异的临床表现,出现症状时一般已到了中晚期;
再者就是没有特异性的肿瘤标记物可查 。
胰腺癌症状主要有三方面:
一是左上腹隐痛或腰背部疼痛也就是题目所问的1种痛感,约有半数患者以腹痛为首发症状,约20%的病人腹痛可放射至腰背部、左肩部 。
二是消化不良 、厌食、消瘦
三是黄疸出现皮肤及眼角膜的发黄 。
但这些症状都没有特异性 , 其他很多消化系统疾病都可能出现,所以很容易跟肝炎、胆囊炎等相混淆 。
对于以上提到的高危人群,当出现这些症状时 , 就需要警惕有没有胰腺癌的可能,进一步行相关的检查 。
而对于胰腺癌的检查可以分三步走:早期可作腹部超声加肿瘤标记物(如CA19-9等);如果发现B超异常或肿瘤标记物CA19-9升高,再进一步做MRI或CT检查,或作超声内镜检查;若仍有鉴别困难,还可做PET-CT或者腹腔镜检查 。通常,大部分的早期胰腺癌都可以被发现 。
此外 , 对于这些高危人群 , 即使没有出现症状,也建议至少半年体检一次,抽血、B超或者CT检查,并且还应养成良好的生活方式,管住嘴、迈开腿,从预防做起!
胰腺癌,其恶性程度和死亡率几乎是所有恶性肿瘤中最高的,所以,它又被称为\"癌中之王\",即使在临床医学迅速发展的今天,胰腺癌的五年生存率依然只有5%左右,也就是说,九成以上的确诊患者会在五年内病逝,可见其危害之大;
其实,胰腺癌死亡率如此之高的原因除了其恶化程度太高之外 , 最主要的还是发现的太晚 , 因为绝大多数患者都是在腹痛等症状十分显著时才想到就医,可此时病情多半已经发展到了中晚期的程度,而这种状况下,患者基本上已经失去了进一步救治的可能性了 。
最初的时候,也就是胰腺癌的早期阶段,患者并不会出现太明显的不适感,该情况下,除非患者刚好参与到定期体检中,否则,胰腺癌就会在患者不经意间度过早期阶段;随着病情的持续进展 , 癌变会慢慢累及甚至突破内脏包膜而波及腹膜及其周围组织,从而引起疼痛;
那么,胰腺癌所致疼痛都有什么特点呢?
疼痛多位于中上腹或左、右上腹部,少数患者则可能出现左右下腹、脐周或全腹部疼痛,如果癌变持续进展累及周围器官或神经,疼痛还可放射至后腰或会阴等处;
不过 , 该症状很容易和其它腹内疾病相混淆 , 根本无法精准判断患者是否罹患胰腺癌,所以,我们的建议是:如果您出现了不明原因的上腹部不适或腹痛感,且位置较深、性质模糊,并与饮食关系不一 , 请尽早就医 。
那么,具体来说 , 什么样的情况需要高度怀疑胰腺癌呢?
40岁以上、无诱因腹痛、饱胀不适、食欲不振、消瘦、乏力、腹泻、腰背部酸痛、反复发作性胰腺炎或无家族遗传史的突发糖尿病,应视为胰腺癌的高危人群 , 就诊时应警惕胰腺癌的可能性 。
你讲的一切都没有用的
胰腺癌的前期,腹部疼痛是主要症状 。
胰腺癌是一种恶性程度很高 , 诊断和治疗都很困难的消化道恶性肿瘤 。其发病率和死亡率近年来明显上升 。
胰腺癌的早期表现有哪些?
1.腹部疼痛
腹部疼痛是胰腺癌的主要症状 , 不管癌症位于胰腺的哪个部位 , 都有疼痛表现 。大部分的胰腺癌患者表现为: 中腹、左上腹、右上腹的疼痛 。
2.消瘦、乏力
胰腺癌不会突然消瘦或者疲乏 。但是胰腺癌的恶性程度很高,一般在早期 , 人就会变得消瘦,经常感觉到乏力 。
3.食欲不振、恶心、呕吐、腹泻
胰腺癌食欲不振和胆总管下端及胰腺导管被肿瘤阻塞,胆汁和胰液不能进入十二指肠有关 。
三种人群易得胰腺癌:
一、烟民
大量研究证明,吸烟会提升患上胰腺癌的概率 。因此,为了您的健康着想,请尽量少抽烟或是干脆戒烟 。
二、胖子
胖子患胰腺癌的概率是正常的人的数倍 。如果想预防远离胰腺癌,应注意控制体重 。
三、糖尿病患者
糖尿病患者年龄在50岁以上,出现了体重减轻的症状,就要警惕胰腺是不是出了问题 。
下载【今日头条极速版】
填我邀请码【1457118231】
你我各得32元【可以立即提现】
红包可立即提现,我已经赚了31499.87元 。
有很多种赚钱的方式,可以当主业当副业的职业有很多,关键看你的知识储备和能力了 , 这里分享一个门槛低,人人都可以的小技巧 。只要用心你绝对可以 。
首先,下载今日头条极速版 。
首次登录填写新用户
专享邀请码【1457118231】
还可以领取一个现金红包的奖励!
最后,就是按要求每天阅读新闻 , 视频,分享 。这个极速版里有签到 , 开宝箱,阅读,看视频等等的任务攻略 , 是目前接触金币到兑换现金靠谱的软件!
操作很简单,需要大家注意的关键环节就是持续的邀请好友,也算是对头条的推广吧 。你还等什么,来吧 。
点击下载【今日头条极速版】
https://a1.app.qq.com/o/simple.jsp?pkgname=com.ss.android.article.lite\u0026ckey=CK1431889492477
填我邀请码【1457118231】领32元红包
网络上告诉给大家的是去医院检查、但医生也不知道癌症是怎么得的、、谈癌色变 。
当谈到癌症的时候,我们一般最先想到的是胃癌 , 肠癌,乳腺癌等,很少人会注意到胰腺癌 , 这是因为胰腺的位置比较隐蔽,可以说是位于消化道内,所以胰腺癌就是一种发生在消化道的恶性肿瘤,而且胰腺癌早期症状也是不太明显,所以很容易就被我们忽略了 。也正是被我们忽略的缘故,最近几年的调查数据表明,胰腺癌的患病率越来越高 。
那么胰腺癌早期的一种被我们忽略的痛感到底是那种呢?最典型的就是腹部疼痛,而我们许多人会简单的以为只是肚子疼或者吃什么消化不良的东西,后期不疼或者偶尔痛一段时间就不太在意 , 很少会有人联想到胰腺这个地方,而且不是每一个患者都会先出现腹痛的,所以一拖再拖,导致最后病程逐渐加快,演变成胰腺癌 。
另外,早期腹痛症状被我们忽略其实只是引发胰腺癌的其中一个因素 , 患病率越来越高的原因还有遗传因素,一般就癌症来说,会有家族聚集现象,所以,如果家族中有胰腺癌病史 , 一定要去及时检查 。其次,长期吸烟饮酒等都会增大患癌的风险 , 所以尽量可以戒掉 。第三,长期饮食烧烤,油炸 , 腌制等食物也会增大致癌风险,故能少吃就少吃 , 能不吃就不吃,用水果蔬菜其他有营养的东西去代替它们多好 , 既可以提高身体免疫力,还可以降低患癌的风险 。
尽管听起来一不小心就会患胰腺癌,其实没那么可怕,而且我们现在医学这么发达 , 会有许多对应的治疗方法的 , 手术治疗我们都知道,是常用的治疗方法,以及化疗放疗等也是经常采用的,我要说的是容易被我们忽略的中医疗法,三位一体疗法和中医经穴埋植术,二者都是治疗胰腺癌的好办法,通过中医中药特有原理,来杀死肿瘤细胞 , 无毒副作用,值得采纳尝试 。
我是中医肿瘤科的王大夫,大家有什么关于癌症的问题,可以在评论区进行留言或者直接私信,我会尽力为大家一一回复 。
无论你拥有什么 , 对于你的身体,都是“身外之物”,豪车、别墅、名利、成就,身外就是身外,你无法变成身内!
至始至终,你唯一真正拥有的,只是你的身体 , 你出不来,身外之物,也进不去 。
一旦你失去一颗牙齿,你就开始体会到,任何物品都无法替代你的身体的制造 。在一个你有可能变得富有,变得看起来很成功的时代,如果失去你的身体,你只能够成为一个笑话 。
而大多数人,从未意识到,这一生,这个身体是他唯一真正的依靠,也是他唯一真正的财富,更是他存在的唯一标志 。
秒懂知识为您整理更多相关内容。
还记得这个男人吗?
没错,他就是乔布斯!苹果的创造者!然而,就是这么一个大牛、富豪,依然逃不过胰腺癌的\"魔掌\" 。很多人因此认识了胰腺癌 。其实还是比较\"小众\"的一个癌种,发病率不高 。但,其恶性程度非常高!五年生存率小余1%,也就意味着得了胰腺癌几乎活不了多久 。
那么胰腺癌有什么症状呢?\"身体如果有一种痛,去医院查查\"指的是哪种痛?
1. 腹痛
腹痛是胰腺癌最重要的一个症状!但是由于胰腺的位置比较\"尴尬\",边上有胆囊,十二指肠,有胃 , 所以胰腺癌引起的疼痛常常容易被忽略 。
但如果这种痛是放射到背部的,并且睡着的时候明显,而身体屈曲的时候稍微可以缓解一下 , 那么一定要高度警惕是不是胰腺癌!
2. 皮肤发黄,瘙痒 。
医学术语叫\"黄疸\" 。这多见于胰头癌压迫到胆管下段引起的梗塞性黄疸 。临床上我们经常碰到晚期胰腺癌患者皮肤黄的吓人 。
3. 消瘦 。胰腺癌病人可以瘦的厉害,浑身没力气 。
4. 肚子长水,大大的 。这是晚期胰腺癌转移到腹腔腹膜而导致的癌性腹水 。
5. 胃口差,消化不良 。这和胰腺癌堵塞,导致胰液和胆汁不能流进十二指肠有关 。
那怎么发现胰腺癌呢?
还是我经常强调的那句话\"定期体检\"!包括CA19-9、CEA的肿瘤标志物检查是必须得,B超也要做一个 。如果肿瘤标志物和超声怀疑胰腺癌,那么赶紧做CT检查!一般CT还是可以发现胰腺癌的!
人们得胰腺癌往往是谈癌色变,很多人都认为胰腺癌治和不治都一样,也有人说不是治和不治的问题,而是并没有早期发现,往往拖到晚期才去治疗 , 效果自然不好,那有没有一种感觉让你早期发现胰腺癌呢?

文章插图
首先,我们来认识一下胰腺癌
胰腺癌是一种发病隐匿,进展迅速,治疗效果及预后极差的消化道恶性肿瘤,其发病率有明显增高的趋势,40岁以上好伐,男性比女性多见,目前胰腺癌居常见癌症死因的第四位,居消化道癌症死因的第二位 , 仅次于大肠癌,五年生存率为1%到3% 。因此,胰腺癌也被称为癌中之王 。

文章插图
其次 , 胰腺癌的临床症状
(1)上腹部疼痛不适这是胰腺癌最常见的首发症状,早期因肿块压迫胰管,使胰管不同程度的梗阻 , 扩张扭曲及压力增高 , 出现上腹不适或隐痛,钝痛,胀痛 。约15%的病人可以无疼痛,通常对早期症状的忽视而延误诊断,也就是 , 把早期胰腺癌,拖成了晚期胰腺癌 。中晚期可出现严重的剧烈腹痛 , 严重影响进食和睡眠 。

文章插图
(2)黄疸是胰头癌最主要的临床表现 。多数是由于胰头癌压迫或浸润胆总管所致,呈进行性加重,多数病人出现黄疸已属于中晚期!
(3)消化道症状如食欲不振 , 腹胀,消化不良,腹泻或便秘,部分病人可有恶心,呕吐,晚期可出现消化道梗阻和消化道出血 。

文章插图
(4)消瘦和乏力病人因饮食减少,消化不良 , 睡眠不足和肿瘤消耗等造成消瘦乏力,体重下降 , 晚期可出现恶病质 。
(5)其他部分病人表现有抑郁,焦虑,性格躁狂等精神神经障碍 , 晚期可出现上腹部肿块,质硬,固定,大量腹水 。
上腹部疼痛不适,是最早的出现的症状,但也不是说只要上腹部疼痛不适,就怀疑是胰腺癌,就要做相关的检查,如果您有家族史 , 或者说有其他怀疑胰腺癌的情况,那当然要小心为妙了!
最后 , 胰腺癌的治疗
不少患者想要了解胰腺癌怎么治?就目前来讲,手术切除是唯一有希望根治一线癌的方法,如果没有发生淋巴结转移的时候,接受根治性手术 , 患者的五年生存率将达到40%!但遗憾的是,胰腺癌早期症状容易被忽视 , 当发现的时候已经是中晚期,再加上胰腺的解剖位置原因,胰腺癌的手术要远远高于其他手术的难度,胰腺癌的术后并发症也远远高于其他手术 。也许这就是胰腺癌被称作癌中之王的原因吧!
希望我的回答能够帮助到您!
- 你感到最自由自在的时候是在什么情况下
- 毕业一年不到,我已经开始倒腾卡片活着啦。我还有希望吗
- 全明星首发选人,哈登在倒数第二顺位才被选中,为什么
- 男朋友是外地的,又没房子,没车子,我爸妈死活不同意咋办
- 影视剧里有哪些古装美女惊艳到了你
- 你什么都不缺,缺的是从头再来的勇气。你怎么看
- 如果自己是男孩是否愿意进德云社你觉得自己喜欢的到底是角儿们还是相声
- 如何控制拖延症
- 怎么会有假装精神疾病逃避刑法这种方法为什么精神病不用坐牢
