细菌性肺炎和病毒性肺炎怎么判断?
从来没有像今年这个冬天,将呼吸道的问题摆在众人面前 , 细菌感染包括肺炎链球菌、金黄色葡萄球菌、肺炎克雷伯杆菌、流感嗜血杆菌、铜绿假单胞菌等肺炎,引起肺炎的病毒不多见,其中以流行性感冒病毒为常见 , 其他为副流感病毒、巨细胞病毒、腺病毒、鼻病毒、冠状病毒和某些肠道病毒,如柯萨奇、埃可病毒等,以及单纯疱疹、水痘-带状疱疹、风疹、麻疹等病毒 。

文章插图
细菌和病毒攻击肺部的特点肺的结构分发肺被膜和肺实质,肺实质分为导管部和呼吸部 。
病毒比细菌小的多 。攻击肺部模式是经肺泡孔扩散 。病毒性肺炎则以间质受累为主 , 亦可累及肺泡
细菌主要结构是核蛋白体,可以自行分裂繁殖 。攻击肺部模式是经细支气管扩散 。细菌性肺炎以肺实质受累为主 。

文章插图
细菌性肺炎和病毒性肺炎主要表现细菌性肺炎的症状变化较大 , 可轻可重,常有受寒、劳累等诱因,有上呼吸道感染史 , 多数起病较急 。发热常见,多为持续高热,咳嗽,早期为干咳,渐有咳痰 , 部分有胸痛,累及胸膜时则呈针刺样痛 。下叶肺炎刺激膈胸膜,疼痛可放射至肩部或腹部 。
全身症状有头痛、肌肉酸痛、乏力,少数出现恶心、呕吐、腹胀、腹泻等胃肠道症状 。查体双下肺可闻及湿性啰音 。
血白细胞总数和中性粒细胞多有升高 。老年体弱者白细胞计数可不增高,但中性粒百分比仍高 。
病毒性肺炎的临床表现一般较轻,起病缓慢,有头痛、乏力、发热、咳嗽、并咳少量黏痰 。体征往往缺如 。白细胞总数可正常、减少或略增加 。病程一般为1~2周 。
在免疫缺损的患者,病毒性肺炎往往比较严重 , 有持续性高热、心悸、气急、发绀、极度衰竭,可伴休克、心力衰竭和氮质血症 。

文章插图
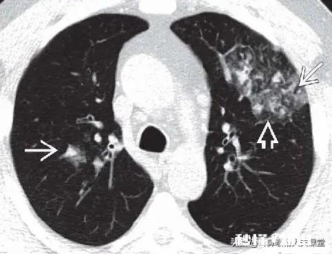
细菌性肺炎和病毒性肺炎影像学表现细菌性肺炎最常见表现为支气管肺炎型改变,CT会显示新出现的斑片状或实变阴影 。如影像肺叶实变、空洞形成或较大量胸腔积液多见于细菌性肺炎 。葡萄球菌肺炎可引起明显的肺组织坏死、肺气囊、肺脓肿和脓胸 。革兰阴性杆菌肺炎常呈下叶支气管肺炎型 , 易形成多发性小脓腔 。

文章插图
病毒性肺炎CT特点:
1. 常有磨玻璃影;
2. 常有斑片状实变影;
3. 重症患者病灶常多发;
4. 部分间质性改变;
5. 病灶进展迅雷不及掩耳之势;
6. 几乎不会形成空洞,除非合并细菌感染等情况;
7. 一般少有胸腔积液,就算是有,几乎都是少量胸水 , 中大量胸水估计是合并其他疾?。?
8. 典型特点,病变早期 , 分布于胸膜下或支气管血管周围的类圆形磨玻璃影 。

文章插图
细菌性肺炎和病毒性肺炎的治疗肺炎治疗主要以对症治疗为主,补充营养,注意水分的补充 , 卧床休息,居室保持空气流通,注意隔离消毒,预防交叉感染 。
细菌性肺炎主要使用抗生素治疗,病毒性肺炎使用抗病毒药物治疗,原则上不使用抗生素治疗,一旦明确合并细菌感染,应及时选用敏感的抗生素 。
总结:细菌性肺炎和病毒性肺炎症状相似,细菌性肺炎起病急,症状重 。病毒性肺炎起病缓症状轻 。主要是根据血常规、c反应蛋白和影像学检查进行区别判断 。
我是@耳鼻喉杨大夫课堂做科普 , 最开心的莫过于能帮助别人 !如有用,请点赞、评论、转发!#湖南医聊超能团##清风计划##青云计划#
有痒咳和干咳,有鼻涕眼泪一起的现象 。痒咳为细菌性感染 。
秒懂知识为您整理更多相关内容。
肺炎是指肺组织的炎症和肿胀,肺泡中可充满脓液和其他液体,使得氧气难以到达血液 。肺炎可分为典型肺炎和非典型肺炎 , 典型肺炎最常见的致病因素是肺炎链球菌,非典型肺炎可由病毒、真菌、细菌或化学物质等引起 , 其中,细菌性肺炎是最常见的肺炎,也是最常见的感染性疾病之一 。

文章插图
细菌性肺炎和病毒性肺炎怎么判断?细菌性肺炎是由细菌感染引起的,肺炎链球菌是细菌性肺炎最常见的致病因素 。当发生细菌性肺炎时,患者常会出现高热、嗜睡、呼吸急促、打寒战、咳痰、胸痛、嘴唇发紫等症状 。
【细菌性肺炎和病毒性肺炎怎么判断】病毒性肺炎严重程度轻于细菌性肺炎,是由病毒感染引起的 , 大约半数的肺炎患者都是病毒性肺炎,病毒性肺炎恢复可能需要2-4周 。发生病毒性肺炎后,常会出现发热、干咳、头痛、喉咙痛、食欲减退、肌肉疼痛,严重时还会出现极度呼吸困难、嘴唇发紫等症状 。
预防肺炎的方法包括每年接种流感疫苗,接种肺炎疫苗 , 治疗呼吸系统的其他感染,在饭前便后认真洗手,尽量避免接触患有感冒或流感的人群,合理饮食,增加体育锻炼,规律作息 , 如果出现以上肺炎症状,要及时就诊 。
您好 , 很高兴为你解答 。
关于两种疾?。檠觳橄妇苑窝卓杉紫赴撸行粤O赴壤黾樱徊《拘苑窝装紫赴话阏#ズ讼赴壤黾?。
一、细菌性肺炎指细菌感染引起的肺炎,包括肺炎链球菌肺炎、葡萄球菌肺炎 、克雷伯杆菌肺炎等 。
肺炎链球菌肺炎:肺炎球菌感染引起,冬春季节容易发?。?多见于青壮年男性,发病前常有醉酒、受凉、疲劳史,急性起病,寒战、高热,铁锈色痰,口角周围可见单纯疱疹等一系列表现 。胸部X线检查可见肺实变表现 。葡萄球菌肺炎:是由葡萄球菌感染引起,好发于免疫力低下的人群,急性起病,寒战、高热,胸痛,咳脓性痰或脓性血痰 。胸部X线片可见液气囊腔,阴影易变性等 。克雷伯杆菌肺炎:克雷伯杆菌感染引起,多发生于老年人,急性起病,寒战、高热,咳砖红色胶冻状痰,胸部X线片可见肺实变,蜂窝状脓肿,叶间隙下坠等 。二、病毒性肺炎指上呼吸道病毒感染向下蔓延所导致的肺部炎症,冬春季节容易流行发病 , 急性起病 , 症状较轻,发热、头痛、全身酸痛、乏力等表现 。胸部X线片可见肺纹理增多,磨玻璃状阴影 。
小小西瓜——为您的健康保驾护航!
- 用一句话形容你的2020年经济情况
- 生意人跟手艺人你会怎么选
- 男生学英语专业好吗
- 我……家境不好,人长的不漂亮,胖胖的,有社恐,我一直不满意当下生活,是我自己做的不够好吗
- 2型糖尿病能逆转吗为什么
- 国庆节过后,做什么生意好不要求太多,够还房贷就可以
- 英雄联盟这款游戏的入门难度是否越来越高了
- 长裙怎么穿出休闲慵懒的风格,想要文艺的感觉
- 本人坦克世界萌新,请问四级和五级的三突哪个游戏体验更好
