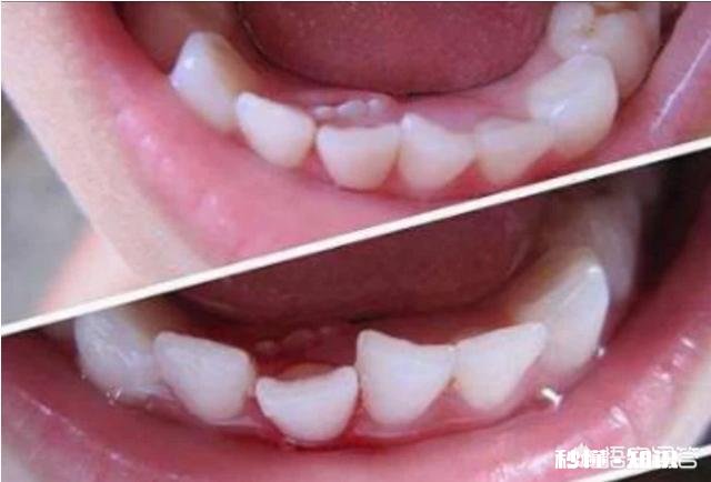
这说明你家大宝到了换牙的年龄了 。这种情况叫做乳牙滞留 。是指继承恒牙已萌出 , 而乳牙未按时脱落 。呈现出一种双排牙的现象 。
这种情况因及时去医院拔除乳牙,乳牙滞留会使恒牙不能在正常位置萌出,导致牙列不齐 。以后可能会需要进行整牙 。六至12岁是孩子的换牙期 。在这期间要注意孩子的牙齿 。
【我家大宝六岁了,乳牙没掉里边又长出一颗大牙怎么回事】你家大宝六岁啦 。六岁时会长出六龄齿 。这是一颗新长出的牙 。只有一颗不退不换 。因牙齿靠后,孩子可能刷牙刷不干净 。坏牙的可能性比较大 。应及时带你家大宝去做窝沟封闭 。同时还要注意刷牙 。

文章插图
- 荣耀MagicBook pro旗舰版和联想威6怎么选
- 你觉得医生和病人最佳的沟通模式是什么为什么
- 2018-2019西决勇士vs开拓者,小伙伴们更看好哪队
- 孕妇在孕晚期吃什么好
- 保山属于几线人口多少房价多少能投资吗
- 12寸的MacBook怎么样究竟是怎么定位的
- 如里家婆当你面说:孩子是我们家的,只是借你的肚子生而已。你应该怎么做
- 2017年Q2季度全球智能手机报告,小米为何猛增60%,增速名列第一
- 快递市场格局已定,小米快递半路杀出,将对快递行业造成什么影响你怎么看
