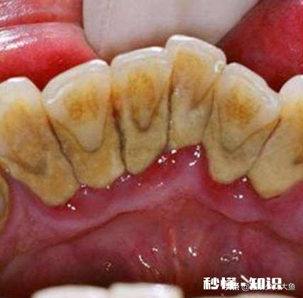
牙结石又称牙石,通常存在于唾液腺开口处的牙齿表面 。如下颚前牙的舌侧表面,上颚后牙的颊侧表面和牙齿的颈部,以及口腔黏膜运动不到的牙齿表面等处 。牙结石开始是乳白色的软垢,会因逐渐的钙化而变硬 。它是由75%的磷酸钙,15%~25%的水、有机物、磷酸锰、矿酸钙及微量的钾、钠、铁所构成 。并呈现出黄色、棕色、或者黑色 。

文章插图
牙结石发展过程:食物残渣→牙菌斑/牙石→(刺激牙龈)牙龈炎→(炎症导致牙槽骨吸收)牙周炎→牙齿松动→晚期牙周炎→拔除或自行脱落 。想消灭牙结石? 想减少牙结石的话,就要好好刷牙,最好用牙线漱口水等,从根源上减少牙菌斑的形成 。

文章插图
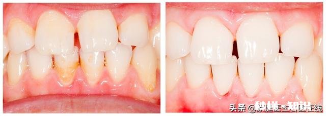
如果牙结石已经形成,就要通过洗牙把它震碎喽!洗牙可以有效去除牙结石 , 同时可减轻牙龈炎、牙周炎的炎症状况 , 最好每年洗1-2次 。洗牙后一定要抛光,否则牙结石更容易累积在牙齿上 。

文章插图
日常生活中如何预防牙结石? 1、养成良好的口腔卫生习惯 。坚持刷牙 , 至少每天两次 , 每次3分钟 。刷牙是预防牙结石形成的一种简便而又行之有效的方法 。牙结石的沉积是由少到多,逐渐形成的 。经常刷牙可将刚刚开始沉积于牙面的牙垢、牙结石及时刷掉,防患于未然 。推荐选用软毛牙刷,选择合适的牙膏 。2、每半年进行一次全面的口腔健康检查,以便及时发现与定位牙结石 , 尽早通过专业口腔洁治将其清除 。3、少吃精细的食物,如:饼干、蛋糕等(精细食物粘稠性大、糖分高、极易沉积于牙面,不仅容易形成牙结石,还会造成龋齿) 。

文章插图
牙缝里抠出的“黄泥”,如果是松软的是“软垢”,如果是硬的是“牙石” 。
软垢是一种软而具有粘性的物质,黏附于牙颈部或存留于牙间隙内 。软垢由数种有机物堆积而成,其中包括细菌、真菌、白细胞、脱落的上皮细胞、粘液、脂肪及食物残渣 。软垢中含有大量细菌,据有关检测数据每毫克软垢中大约有250万个细菌存在 。不刷牙或口腔卫生不好的人 , 常有大量的软垢滞留,并引起口臭 。软垢接触牙周组织部位常常发生慢性龈炎 。久而久之,发展成牙石 。
牙石是附着于牙面上的硬的沉积物,是矿化了的菌斑和软垢 , 可以分龈上牙石和龈下牙石 。附着于龈上牙石又叫唾石,附着于临床牙冠,有时大量沉积于涎腺导管开口处,如下前牙的舌侧和上磨牙的颊侧 。龈下牙石又叫血石,被牙龈的游离缘所覆盖 , 能刺激龈沟壁发生溃疡、出血,血红蛋白与硫化氢结合形成发绿的硫血红蛋白 , 因此龈下牙石呈墨绿色,质坚硬 , 其量比龈上牙石少,且与跟面附着牢固 。
实质上 , 牙石是钙化了的菌斑 。无菌动物口腔中也可形成牙石 。其化学成分在龈上牙石75%是无机物 , 龈下牙石含83%的无机物,其余为水、有机物及微量元素铜、银、钠、锡、锌、铝、钡、铬等 。无机物构造为羟磷灰石 。有机物包括角蛋白、黏蛋白、核蛋白、粘多糖、脂肪及数种氨基酸等 。
从牙缝里挤出的东西我只知道是牙结石,但是我没有闻过,而且也不会拿去闻 , 很不卫生!
这个东西是牙垢,也可以叫牙结石,形成原因是由于每天吃饭后的食物残渣沉积在牙缝里,没有及时清理掉所导致的 。
能扣出来的还是可以通过刷牙、超声波洁牙去掉 。
沉积久的由于已经压迫到牙龈,会导致口臭、牙周炎等口腔疾?。宰龊每谇晃郎欠浅V匾呐?。
只要改变生活中的一些小习惯再做一些定期检查,口腔问题就会得到大提升 。
比如将传统牙刷更换成电动牙刷,会帮助你更好的清洁牙齿,由于电动牙刷清洁力较强,所以也可以改善口臭?。?
有需要的在刷完牙后使用漱口水,不仅可以软化牙菌斑 , 更可以保持口腔清新 , 美好的一天从清新口气开始 。
再就是定期去牙科做洁牙工作,检查口腔是否健康 。
那是一种牙结石,像臭鸡蛋一样那么臭,是一种能腐蚀我们牙齿健康的东西 , 对牙齿形成牙周病的凶手,给人的囗腔有一股不清新的囗臭气,牙齿容易出血大多都和它有关系,发现这黄泥也就是叫做牙结石就要去让牙医好好的洗掉它,保护好自己的牙齿,洗洗后你会觉得口气清新好多 。
牙齿,是我们全身最为重要的一处地方,也是最为坚硬的一处地方 。最大的作用就是帮助我们咀嚼食物 。可以说 , 吃下去的食物,第一步就是经过牙齿的咀嚼,吞咽之后,才能被我们的肠胃所吸收 。但是,很多时候,我们都会发现,我们的牙齿缝中,有着很多的黄泥,扣下来闻闻的还感觉非常恶臭味 。这到底是什么呢?
从牙缝中,抠出来的黄泥究竟是什么?
其实 , 我们从我们的牙缝中,抠出来的黄泥就是我们的平时所吃的食物残渣 。堆积在我们的牙缝中,这种情况的发生,其实就是和我们平时生活中,不讲卫生,习惯不好的问题所在 。我们每天如果说仅仅只刷一次牙的话,牙缝中的杂质很可能就会堆积在牙缝中,从而我们就会出现塞牙的情况 , 有的时候 , 抠一下牙齿的话 , 就会发现有臭臭的黄泥出现,对此,我们应该有所重视,尽早做出改善尤为重要 。
这种黄泥堆积在我们的牙齿中的话,往往很容易会形成牙结石,这对我们的牙齿影响可能是比较大的 。我们应该有所重视,牙结石的出现,很容易就会影响到牙齿的正常生长,影响到我们的口腔健康,我们只有尽早发现,及时改善 , 口腔问题才会有所好转 。
我们应该如何避免牙齿出现结石问题?怎么做,才能有一个清新口气
如果说,我们出现了比较严重的口腔问题 , 出现了牙结石,以及牙齿缝中,扣出黄泥的情况时,我们是需要有所重视的 。我们可以在吃饭完后,或者是吃完蛋糕,甜食后,及时去漱漱口 , 避免食物中的残渣堆积在我们的牙齿缝中,是尤为重要的事情 。这样做 , 可以极大程度的减少,食物残渣在我们的身体中进行堆积,对身体健康很有好处 。
而且,我们还应该保证每天的刷牙次数 。早晚一次是必须的,尤其是在晚上的刷牙,晚上的刷牙对于我们的身体健康是比较有好处的 。晚上的刷牙,可以很好的避免我们减少细菌的形成,并且,我们还需要刷一刷我们的舌苔 。刷刷舌苔上的脏东西,刷刷多余的味蕾是很有好处的 。
并且,其实我们生活中,是有清理牙缝中脏东西的神器的 。其实就是牙线 , 牙线很多人可能习惯用的人并不多 。但其实,经常用用牙线,对于我们的牙齿,改善我们的口腔卫生是很有好处的 。
可以很大程度上,帮助我们清理口腔卫生,帮助我们清理牙齿中的残渣,这对我们的身体健康都是很有好处的 。我们在日常生活中 , 如果说我们牙齿中的残渣比较多的话,我们不妨经常使用牙线,对我们的身体健康是很有好处的 。
并且 , 除了经常吃甜食外,我们还应该少喝一点碳酸饮料,碳酸饮料喝多了,也是会给我们的牙齿造成损伤的 。很容易就会破坏牙齿表面的清洁程度,同时,也会给我们的肠胃造成影响 。
所以,如果说我们爱喝甜的饮料的话,爱喝碳酸饮料的话,我们注意要少喝,喝多了,对自身健康影响可能是比较大的,及时做出改善是很有必要的事情 。
以上,就是我们牙齿缝中,总是抠出来的黄泥 。这些黄泥 , 你都有所发现了吗?只有我们及时发现 , 尽早祛除,对于我们的口腔健康才是有好处的事情 。
抠出来的黄泥是我们平时吃东西之后,口腔中没有清洁干净,就会导致食物残留在牙缝之中 , 时间一长,就会滋生细菌,并且还容易散发出难闻的气味 。所以一定要养成早晚刷牙的好习惯,更好的去保护口腔的健康 。
牙结石,可以考虑下洗牙 。
【牙缝抠出的“黄泥”是什么东西闻起来臭烘烘贼酸爽】这是牙垢,吃米饭或者面食类食品后较多,主要在牙齿背面和牙缝,臭味来自口腔里细菌发酵,长时间不清理要形成牙结石,可以建议使用电动牙刷和电动冲牙器更容易清理,注意爱护个人卫生
秒懂知识为您整理更多相关内容。
牙齿缝抠出“黄泥” , 还臭烘烘特酸爽,这是什么东西呢?
其实,牙齿上的黏附着的黄色的泥 , 跟食物的残留物是有一定联系的,多半是在生活中,很多人由于日常饮食不注意,没有及时的漱口、刷牙等 。从而导致口腔内部残留过多的食物残留,加上口腔本身的细菌腐蚀,产生了牙菌斑物质 。

文章插图
这种细菌会不断的繁殖和扩散,从而就会分解出“厌氧菌”,迸发出硫化物,伴随出现口臭的问题 。
所以在生活中要想缓解这种情况,一定要注意坚持刷牙,如果不注意的话,就会导致这些黄泥增多,从而钙化形成硬硬的牙垢 。

文章插图
该如何去除牙缝处“黄泥” , 避免形成牙垢 , 牙齿问题严重?
1、刷牙放点小苏打
我们在刷牙的时候,可以在牙膏上均匀的撒上一些小苏打粉 , 用来刷牙起到摩擦的效果,可以慢慢磨掉牙齿上的牙垢,慢慢坚持下去 , 牙齿会慢慢变白哦~建议一周3次左右,不出一周,牙齿就会全部变白 。

文章插图
2、碧蒙/萱碱性牙膏
食物残渣残留在牙缝处,不仅会滋生大量细菌 , 还会增加口腔问题滋生,想要避免此问题,常用碱性牙膏刷牙 。
含鼠尾草等天然草本成分 , 自古以来就具有杀菌、消炎的效果,用来刷牙可以很好的清洁口腔,清新口气,避免食物残渣过多,减少“黄泥”推积!

文章插图
3、饭后使用牙线
虽然清洁牙齿表面的黄泥,是相对比较容易的,但是很多人所困扰的问题,还是牙缝处,因为牙齿间隙不容易被清洁,经常伴随出现一些牙齿发黄,甚至发臭的问题 。
只会导致出现口腔疾病 , 造成细菌的滋生,所以在平时刷牙的时候,不妨使用一些牙线,饭后可以减少食物残渣 , 帮助清理牙缝,让你的牙齿保持干净整洁的状态 。

文章插图
一口整齐洁白的牙齿能为形象加分 , 但很多人因为牙缝中有黄黄的东西而烦恼,抠下来时有明显的臭味 。即使每天早晚刷牙也仍然去除不了,牙缝里黄黄的东西到底是什么呢 。

文章插图
牙缝里黄黄的东西是什么?吃饭时随着嘴巴咀嚼,食物残渣会缓慢进入牙缝中 , 食物残渣会和唾液发生化学反应 。口腔是高温潮湿环境正适合细菌生长繁殖,口腔中的一些细菌会催化分解此混合物,导致混合物越来越黄 。另外,随着氧化分解反应也会产生有臭味的物体和气体,所以牙缝中有黄黄的东西而且发臭 。
若是没有及时去除的话,这些物质会慢慢钙化,且变得又厚又硬,从而发展成牙结石 。牙结石易吸附细菌或病毒 , 再加上牙结石本身局部受到刺激 , 会导致牙龈红肿、出血或发炎 。
再有,当我们的牙龈有下牙结石被附着物刺激、产生的毒素时,容易使牙龈内侧发生溃疡,这就比较难以愈合了 , 有的还可能伴随有牙龈出血、口臭情况恶化及牙周感染等症状 。总而言之,牙结石可是牙周炎发生、发展的一大危险因素,最好是能免则免!

文章插图
发展成牙结石怎么办?1、洗牙
利用超声波去除牙结石,利用高频震动除去粘附在牙齿表面上的牙结石 。洗牙是去除牙结石最好的方法,但洗牙可能会伤害到牙龈或牙周 。洗牙前需对所用仪器严格消毒 , 能防止口腔细菌感染 。洗牙能去除牙结石和牙菌斑以及牙垢 , 一般每半年洗牙一次即可 。
2、勤刷牙
早晚刷牙、饭后及时漱口能防止牙结石生成 。用保健牙刷 , 选择含氟牙膏,同时掌握正确的刷牙方法,能清除食物残渣和牙菌斑以及牙垢,避免牙结石生成或沉淀 。
若可以的话,建议多用指腹按一按我们的牙龈 , 这样可以帮助局部的血液循环,以此增强牙周组织的抗病机能 。
3、调节好饮食
合理摄入营养,做好荤素和粗细搭配,多吃富含膳食纤维的食物,如蔬菜水果、蛋类和肉类 。吃饭时需充分咀嚼,这样在一定程度上也可以起到清洁牙面的作用,尤其是要注意少吃一些有粘黏性的食物,像糖果、甜糕一类的 。

文章插图
温馨提示刷牙是预防牙结石简单又有效的方法 , 掌握正确的刷牙方式 , 能快速清除沉积在牙面的牙垢以及牙结石 。另外尽量少吃精细食物,若吃后必须仔细刷牙漱口 。尤其是睡觉前不能吃蛋糕或饼干等,不仅形成牙结石 , 而且也会导致龋齿 。
- 华为手机的语音输入好用吗
- 脸上毛孔如“橘皮”,越来越粗,跟什么因素有关呢螨虫可能吗
- 我出钱买的房子,哥哥出力装修的,他对父亲不好,我能让他搬走吗
- 厨房装修布局有什么讲究
- 10到15万预算,给妻子上下班开,有哪些值得推荐的车
- 我想拥有百万流量怎么样做呢
- 顶层楼顶天花板掉皮是什么原因
- 玩手机后洗手消毒是否有必要
- 男朋友对我很好,但是有很多事我接受不了,我们该分手吗
