肝癌是一种进展较快的恶性肿瘤 , 早期症状不明显 , 因为发展迅速,当有典型的肝区疼痛症状发生时,病情已经较晚 。
从历史数据看 , 一般肝癌症状出现至死亡时间 , 平均为3-6个月,少数病例在出现症状后不到3个月死亡,比如肝癌破裂大出血的病人,其发生率达8%-14.5% 。
目前治疗肝癌的主要手段还是肝切除术 , 术后可显著改善病人情况 。
在目前报道中,外科疗效较好的,其总体5年生存率可达50%左右,有些复发的肝癌 , 甚至可行再手术切除 , 但二次切除后生存率已经大打折扣 。
所以医生们更提倡那些乙肝、丙肝,以及有酒精肝、重度脂肪肝的患者,提高体检频率,做到早预防,早治疗 。
因为大多数肝癌患者发现得都比较晚,有些甚至出现肝内多发转移或出现门静脉癌栓,属于中晚期肝癌,能做肝切除手术的病人不足20% ,
对于这些中晚期肝癌,目前缺乏有效的治疗措施,所以肝癌术后整体的复发率较高,总的5年复发率>60%,而且目前尚无显著而有效的抗转移复发手段 。
这就是肝癌死亡率较高的原因 。
据统计,虽然肝癌根治切除一年生存率由过去的39.3%提高到87.0%,但手术后五年生存率仍仅为15%-40%,两年内有62%-82%的患者复发 。其中,90%的肝癌复发在肝脏,10%复发在肺 。因此,肝癌切除后,患者切勿掉以轻心 。
肝癌手术后复发率之所以这么高,是因为治疗的不够彻底 。肝癌是全身性的疾病,但是手术治疗只是切除看得见的肿瘤,它是局部治疗方法,残留的病气和癌细胞如果没有清理干净,那么肝癌复发和转移只是时间的问题 。
应注意
1.应以多样化、易消化、低脂肪、低蛋白、高维生素食物为主,以少食多餐为饮食原则,从而因避免饮食不当而阻碍肝脏功能的恢复 。
2.应避免食用过多的营养品和补品,因“高质量”的营养品和补品,不但不易被肝癌手术后功能较弱的肝脏分解 , 而且还会加重肝脏负担,不利于术后的康复 。
3.应忌食高糖食物,因糖易发酵,吃多了不仅会阻碍各种营养素的吸收与利用,而且还会诱发腹胀、腹泻以及肠胀气等症,这对肝癌手术后的康复是极为不利的 。
4.应尽量避免食用辛辣、刺激、坚硬、煎炸、植物纤维素多的食物,从而避免发生食管或胃底静脉破裂出血 , 而影响肝癌术后的恢复进程 。
5.应尽量采用低盐饮食,特别是合并腹水的肝癌患者饮食更要严格限制钠的摄入,应给予低盐或无盐饮食
肝癌术后患者很容易复发是有原因的:
除早期肝癌可以通过手术根治外,绝大多数中晚期肝癌是无法通过手术根治 。手术切除的只是可见肿瘤 , 淋巴结的清扫也是按规范清扫了该清扫部位的淋巴结 。由于对于一些微小、极微小的肉眼不可见肝内转移病灶或淋巴转移灶,外科医生是无法切除干净的 。但癌症却是一种无限增殖的疾病,只要有一点点癌细胞残存,未来很可能就会长满全身!

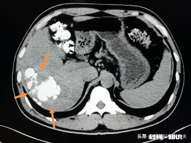
文章插图
因此,中晚期肝癌手术之后都要进行介入化疗栓塞治疗或靶向治疗 , 其目的就是杀死这些微小、极微小的肉眼不可见病灶或将它们抑制在最低危害程度之内 。如果是已经发生广泛肝内转移的肝癌 , 手术已经没有意义了 , 只能通过介入化疗栓塞等手段姑息治疗、延长患者寿命 。
肝癌术后为什么会复发上面已经说过,中晚期肝癌手术是无法彻底切除的 。在手术之后还必须配合化疗、靶向治疗等治疗 。但目前肝癌缺少敏感的化疗药物 , 靶向药物的疗效也难以令人感到满意 。这些未能通过化疗或靶向治疗杀死的癌细胞,一旦再次发生无限增殖,“癌症”就复发了 。

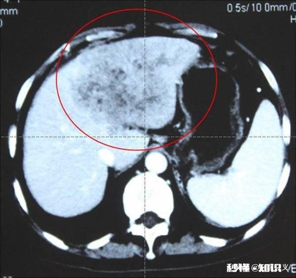
文章插图
再就是目前对肝癌术后残余癌灶最好治疗效果的肝动脉介入栓塞治疗来说 , 它只能栓塞能够造影发现肝癌供血血管,对于无法发现的肝癌供血血管也是无能为力的 , 并且对于通过毛细血管或微小血管供血的微小肝癌(<5mm)也是无法发现并进行栓塞治疗 , 因此,手术后介入栓塞化疗只是最大程度抑制肝癌细胞的生长,并不一定能够彻底杀死潜在的癌细胞 。简单说,短期内或许肝癌被抑制、不再生长 , 但过了一定的生存时间后 。但这些被抑制到最低限度的肝癌细胞一旦再次发生增殖,“癌症”就复发了 。

文章插图
除了以上这两种情形之外 , 还有一种所谓“复发” 。这种“复发”才是真正的复发 , 比如有肝炎患者发现小肝癌并及时切除根治后 , 体内是已经没有癌细胞了,但患者的肝癌癌症体质未改变、致癌因素肝炎未消除,癌细胞生存的环境没有改变,所以会有新的肝细胞恶变为肝癌细胞,导致肝癌的复发和转移 。

文章插图
综上所述 , 大体就是这样一个情况,所谓肝癌复发,主要分为两种情形,一种是原有的一些微小、极微小肉眼不可见病灶对术后介入化疗栓塞、靶向治疗未能将其彻底杀死 。一旦再次发生无限增殖,“癌症”便复发了 。第二种是原有肝癌已经真正根治了,由于存在肝癌癌症体质与致癌因素,肝细胞再次恶变形成的肝癌 。可以说 , 第一种情形我们目前的科学技术水平,只能尽最大努力清除癌细胞以达到延长患者生存时间 , 而第二种情形 , 反而可以通过增强病人免疫力、去除致癌因素,来达到避免肝癌复发的可能 。
肝癌术后我理解也包括介入治疗,在我国如果确诊时是小肝癌(不超过3里面)时候 , 采用介入治疗的比较普遍 。
所谓介入治疗也包括也化学栓塞、射频消融等方式 。还有手术,部分切除 。都可以控制癌症的发展,其中手术是有可能达到治愈效果的 。
但是介入治疗更容易出现复发的问题 。统计显示大约60%的肝癌患者,在接受介入治疗后,三年内60%的会出现复发 。这个比例已经很高了 。
出现这么高比例的复发主要原因还是肝部血管丰富,适合癌细胞生长 。而介入或手术未能处理干净 , 残留的癌细胞在营养充足、血流平缓的情况下更容易快速生长,导致复发 。
对于肝癌的复发情况 , 医学上采用的方式时做好筛查,一般3-6个月做一次甲胎蛋白(AFP)检查,最好配合上B超或者CT(CT都有点大材小用了,除非医生有疑虑的时候) 。这个方式就能及早发现转移的征兆或转移情况 。
早期发现的小肝癌(3厘米)以下时,仍可手术或者介入治疗 , 治疗效果同样不错 。
如果没有进行例行的复查 , 拖了很久后发现的肝癌比较大,甚至出现了远处转移(其它器官),这样的治疗难度就很大了,目前采用的就是全身治疗了 。而基于肝癌对放疗的不敏感 , 更多采用靶向或者免疫的方式 。
肝癌患者术后是不是会复发,这是影响肝癌病人长期生存的一个很重要的因素,这也是要根据肝癌患者自身情况来说的 , 而且国内外的一些相关学者都很是比较重视肝癌患者的复发的预防 , 还做了许多关于造成癌症复发的风险因素的研究 , 通过实验研究发现 , 肝癌的生物学特性和肝病和肝癌在做完切除手术后再复发有着很大的联系 。
从肝癌的生物学特性来说 , 患者肝癌的体积如果越大的话,相对来说手术后复发的风险就会越大,多个结节的肝癌患者在做完切除手术后在此复发的风险要比单个结节的要大,边界不清,浸润性生长的肝癌患者在手术后的复发风险比较高 , 如果一个肝癌患者在显微镜下观察后发现了血管也受到了癌细胞的入侵,相对来说手术后的复发的风险是比较大的 。
所以,一般肿瘤多结节,直径超过了125px、边界还不清晰还有就是癌细胞侵犯了患者的血管,以上的情况都属于手术后高风险复发的患者 。都需要在手术后及时的进行预防性的治疗 。建议你最做一下中医疗法,中医三位一体疗法和中医经穴埋植术,可以很好的调理身体 , 提高身体免疫力,预防再次复发 。
还有就是一般来说患者有没有肝病的历史背景对肝癌手术后是不是复发也有着重要的关系,如果病人的手术前乙肝病毒DNA的负荷比较高的话,或者手术前的肝功能检查的指标中谷丙转氨酶的水平升高的话,相对来水手术后复发的几率也会有一定的提高 。因为由于肝脏的慢性炎症对肝癌细胞的生长有一个促进生长的作用 , 也是容易造成复发的原因之一 。
因此一般在对手术前都患有肝炎等疾病的肝癌患者的治疗中,应该积极的给予抗病毒治疗,这样的话不仅仅对肝功能的康复会有好处 , 还有利于降低手术后的复发的几率 。
我是中医肿瘤科的王医生,大家有什么关于癌症的问题 , 可以在下方进行留言、评论,我会尽力为大家一一解答 。
我父亲是肝癌,发现的时候已经十厘米,做的介入手术,父亲介入手术后反应特别大,而且复查几乎没有任何作用,后面没有再继续做手术 , 去年七月份确诊,现在是四月份,已经腹水,脚肿,痰中有血,也不知道有多少时日,二月份腹水憋的喘不过气来,去医院已经说除了抽水没有更好的办法,吃的中药 , 现在腹水算是能控制?。娴氖窃庾?。
我周围已经有四个人因为癌症去世了 , 其中两个发现的早,做手术切除了 , 但只活了三年,另外两个是发现的太晚 , 没有手术机会,确诊到去世不到一年 。
根据我爸的状况看,手术 , 哪怕一个介入小手术对人的身体伤害太大了,如果不做手术,保守中药治疗 , 起码不用遭罪 。
是的
【肝癌术后患者很容易复发吗】有临床数据显示,即使 ≤ 5 cm 的小肝癌手术切除后 5 年复发率为 43% , >5 cm 的肝癌术后复发率达到 60-70% 以上 。
秒懂知识为您整理更多相关内容。
我兄弟是肝癌,至今已经七年 , 整个治疗过程我都有参与 。
首先他的肝癌确诊是体检发现,右肝s5区发现1.5×1.9小肝癌 , 没有任何症状,但是他有小三阳,他是一直也没有太注意,因为在生意场上难免要应酬 , 喝酒是经常的,2013年3月体检发现,因为是小肝癌,有手术切除的指征,肝s5区肿瘤切除 。但是,10月份复发了 。

文章插图
后来思考复发的原因,做完手术以后情况都非常好,感觉跟正常人一样,但是他没有太注意术后用力的情况,经常负重背东西 。最后检查复发肝脏情况 , 多个小结节转化成小肝癌 。

文章插图
出现整个肝脏复发以后怎么处理?
复发后因为整个肝脏多个小结节爆发,没法手术 , 考虑了介入治疗,就是通过大腿根血管将管插入肝脏,将化疗药打到肝脏肿瘤处,介入治疗八个月,将肝脏很多小的癌肿通过局部化疗杀死 。但这时候最终肿瘤不可能完全杀灭,与医生商量之后决定肝脏移植手术 。
在2014年配对成功以后,成功的做了肝移植手术,术后恢复效果非常好 。

文章插图
从这里情况看来,肝癌手术以后,有没有可能复发,肯定有,但对于早期肝癌来讲 , 很多复发都是自己没注意,肝脏切除不可能所有的癌细胞都切干净,血液里面肯定还残有癌细胞 , 这就需要我们非常小心 。
手术以后不要劳累,特别是手术之后非常短的时间内,一定不要负重,负重不要超过五公斤 。
营养要加强 , 要变成一个营养师 , 每天对自己的饮食,要精心准备 。
要喝大量的水 , 至少2000毫升 , 因为肿瘤病人要吃大量的药,要将这些药物的毒性排泄出去 。
睡眠要好,无论什么方法 , 将自己睡眠调好,我会在以后的时间讲解一下调节睡眠的方法 。

文章插图
我的总结是“三好一少”,吃好、喝好、睡好,少想点!

文章插图
#湖南医聊超能团##健康科普排位赛#
#清风计划#
肝癌术后复发率较高肝癌在老百姓心里是一个很可怕的癌症,因为肝癌太厉害,得了肝癌的人 , 基本都不会活很久 。目前肝切除术仍是治疗肝癌的首选方法 。肝癌切除确实一定程度增加了患者的生存期 , 但是,并不是进行了手术就万事大吉,因为肝癌术后复发的情况还是比较常见的,这也是有些患者不愿意进行手术的原因 。那么肝癌的术后复发率有多恐怖,请记住以下数据:肝癌切除术后3年内的复发率为50%左右;肝癌切除术后5年内的复发率为70%左右 。而且,患者肝癌复发后,一般再次治疗的效果不佳,虽然还可以进行肝癌射频消融术、肝癌介入栓塞术治疗,但是,基本无痊愈可能 。

文章插图

文章插图
肝癌复发率高的原因(1)肝癌自身因素
①.这可能与肝癌早期转移有关,肝脏血运丰富,早期经血运转移情况较多;
②.与肝癌肿瘤的数量有关 , 研究证明肝肿瘤的数量越来,预后越差 , 手术后复发率乐高;
③.与肿瘤的形态、大小相关,一般体积较大的肿瘤、以及肝癌形态差突出包膜,都是术后复发的高危因素;
④.与肝癌是否侵犯血管、有无癌栓形成有关 , 如果已经存在肝脏静脉血管的侵犯以及癌栓的形成,那么术后复发风险极高;
⑤.与肝癌是否有包膜相关 , 有包膜的肝癌肿瘤一般术后复发率较无包膜肝癌发生率低 。

文章插图
(2)与手术相关因素
①.与术中肿瘤切缘距离的大小有关,在保持足够剩余肝脏的情况下,较大的肿瘤切缘距离是减少术后复发的重要因素,而且 , 如果切缘距离较小,很可能使肝脏残留癌组织 。
②.与术中出血量、术中输血量有关,肝脏是人体最大的储血器官,出血也是肝癌手术的最重要风险因素 , 如果术中出血较多,以及术
中大量输血,那么 , 研究证明会增加术后肝癌的复发
率 。

文章插图

文章插图

文章插图
- 电影《流浪地球》的成功是否预示着中国也可以拍《三体》
- 喀什到河南南乐自驾游有何攻略
- 疫情期间,老师很负责需要不断在群里反馈作业,你会生气吗
- 菏泽轨道交通1、2号线建设规划公示,连接东西南北城, 你怎么看
- 顶级985本硕去银行工作能不做柜员吗
- 你觉得当下对你来说最重要的一件事或者最看重的东西是什么
- 崇祯帝最初是信王,那么他的封地在哪里呢
- 两级螳螂vs小丑谁厉害
- 哪些男神一辈子都好看
